
高い技術力を活かす
ダイレクトボンディング
虫歯などにより歯が欠けた部分や、銀歯などのつめもの、前歯の隙間や欠けた部分にダイレクトボンディングというレジンを盛り、歯の形態を整える治療です。
かぶせ物に比べ、健康な歯を削らずに白い歯に修復できるMI治療(ミニマムインターベション)です。
また、ダイレクトボンディングの最大の利点は、高い技術力を活かすことで、歯を不必要に削ることなく、短期間で治療を終えることができるのが魅力です。
日本顎顔面美容医療協会認定 美容塾認定医の院長より
ダイレクトボンディングは、治療の適応範囲があります。この範囲を超えた大きな銀歯やセラミッククラウンなどの被せ物の代わりの治療にはなりませんので、予めご注意ください。
ダイレクトボンディングの材質
コンポレットレジン
コンポジットレジンはプラスティックでできている材料です。
プラスティックは熱により膨張、冷やされると収縮してしまうので、食事の度にお口の中ではこれを繰り返してしまいます。また、水分や汚れも内部に吸収していくため、経年劣化を起こします。
ハイブリットセラミック
ハイブリットセラミックはセラミックが主成分となり、少しプラスティックが混ざっている混合材料です。
プラスティックが含まれていますが、主成分はセラミックのため格段に劣化しずらくなっています。また、色調再現性に優れているために審美的にも優れています。
ダイレクトボンディングの適応範囲
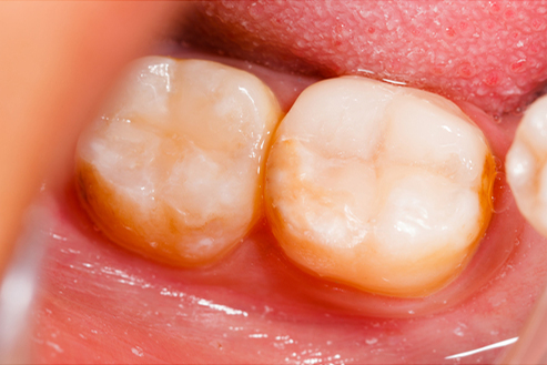
むし歯治療後の穴を詰める
むし歯治療後にハイブリッドセラミックを詰めて形成します。
前歯の隙間・すきっ歯を改善
前歯の隙間がある、すきっ歯のお悩みも改善できます。ただしあまり大きな隙間には向きません。
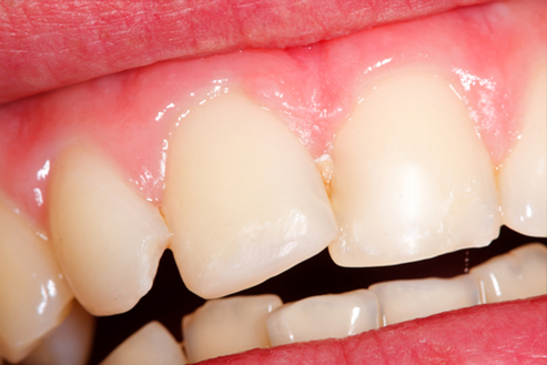
歯の形を整える
歯の形が悪い場合、歯の大きさが不揃いな場合にも程度によって対応可能です。すり減った歯の先端を揃えることもできます。
歯の色を改善する
保険で治療したレジン部変色した場合は、除去をした後にハイブリットセラミックを塗り重ねることで天然歯に近い見た目を再現することができます。
ダイレクトボンディングの治療費用
| コンポレットレジン | 保険対応 |
|---|---|
| ハイブリッドセラミック | ¥35,000~ |
※消費税別表示。なお金属アレルギーの心配はありません。




