
デジタルを駆使した
安全なインプラント治療
インプラント治療を行う前の検査として、一般的にはレントゲン撮影による術前診査が行われますが、レントゲン撮影によるレントゲン像は全顎的な診査を行うためにはとても有効ですが、インプラント治療の術前検査としては完璧なものではありません。
例えば、インプラント手術において危険領域となる神経管や血管の位置や骨幅、骨質などを正確に診査・診断するためにはCTによる精密検査は欠かすことはできません。
撮影したCTデータをもとにして、コンピューター上で3Dシミュレーションすることができるのも、デジタル診療の大きな利点であり、これにより理想的な治療計画が立てられます。
CT撮影機

当院のCT撮影機はインプラントの治療計画にはもちろん、歯周病や虫歯の診断、抜歯あるいは保存可能かどうかの正確な診断にも効果を発揮します。そしてインプラントの手術の他に、埋伏智歯、埋伏歯、顎関節症、難治性の根管治療などに適用となります。
あらゆる歯科治療における安全性と正確性の向上、また患者さんの安心のためにCT撮影機器を導入しています。

コンピューター3Dシミュレーション

ノーベルガイド(NobelGuide)は、プロセラ・ソフトウェアを利用し、インプラントの治療計画から埋入までの一連の歯科インプラント治療をより安全で正確に行うための臨床応用システムです。
患者さんのCTスキャンデータをもとに、非常に精度の高いサージカルテンプレートが作製でき、より安全性に優れたインプラント埋入を可能にします。
このサージカルテンプレートとノーベルガイド専用外科キットを使用したガイディッド・サージェリーは、低侵襲のフラップレス術式を可能にし、患者負担を軽減します。また、事前に補綴物を作製することができるため、患者さんはインプラントを埋入した日に新しく機能する歯を手に入れることができます。
安全性・確実性の向上のためにガイデッドサージェリー

ガイデットサージェリーとは、CTの情報をもとにコンピューター3Dシミュレーション(ノーベルガイド)を行い、手術用のテンプレート(サージカルテンプレート)を装着し手術することです。
これにより、より安全に確実なインプラント治療を行うことができます。
また、ピンポイントでベストな位置にインプラントを埋入することが可能となりますので、より患者負担の少ない低侵襲治療には欠かせないシステムです。
ガイデッドサージェリーの流れ
当院では、まず審査・診断を行い、CTによる精密検査、コンピューター3Dシミュレーションでのインプラント手術設計、サージカルガイドによるガイデッドサージェリーでのインプラント治療、治癒期間という流れになっております。
-
Step 1

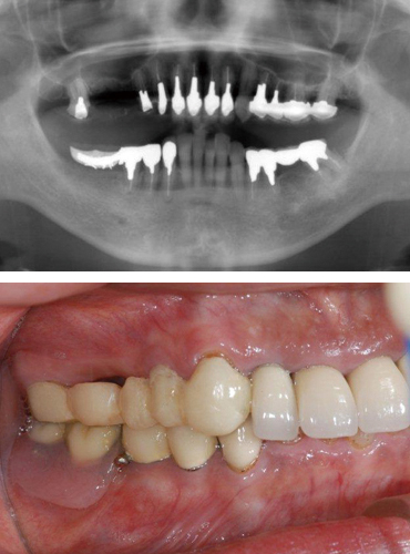
初診時
-
Step 2

CT精密検査・コンピューター3Dシミュレーション
-
Step 3

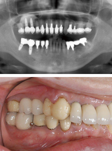
サージカルガイドによるガイデッドサージェリー手術
-
Step 4

インプラント手術後
