
子供たちの虫歯を
治すことだけが
小児歯科ではありません
子供たちの心や身体は、休むことなく成長しています。
そこで、虫歯や悪い噛み合わせ、歯の交換の異常など正しい成長を妨げる色々な原因を早くみつけ、取り除いて、正しい成長へ導いてあげることが必要です。
その第1歩として、私たちとお子様がよりよい関係を作れるように、保護者様もご協力をお願いします。
お子様の歯科治療のポイント

小児歯科治療で大切なことは、お子様の成長にあった治療を行い、なるべく歯医者は怖いところというイメージ付けさせないことです。
お子様を怖がらせないようにその子にあった呼びかけや話をしてあげて、リラックスした状態で歯科治療に対する「不安」や「恐怖心」を和らげてあげることが大切です。
また、成人の歯科治療と異なり、子供の場合は発育段階に合わせた治療やお薬を処方する必要があります。その子にあったアプローチで治療計画を立てていくことが大切です。
子供はどうして
虫歯になるのでしょうか

産まれたばかりの赤ちゃんの口の中には虫歯菌はいません。
なぜ虫歯になってしまうのでしょうか?
離乳食を子供に食べさせるときに、お母さんが一度口をつけたものを子供に食べさせることがよくありますが、その時に、お母さんの歯が虫歯になっていると、虫歯菌が子供へうつってしまうのです。
乳歯の虫歯は永久歯よりも進行が早く小さな子供にとって歯の痛みや虫歯治療は負担が大きいです。早期発見のためにも定期検診をおすすめします。
むし歯を予防する
3つの基本
-
- 基本 1
- 食生活のリズムが大切
3度の食事を中心に、おやつの回数は1日1回を目標にしましょう。甘い物に限らずどのような食べ物や飲み物でも、回数が多くなったりダラダラといつまでも飲食したりしないように注意しましょう。また、1回に与える量を少なくすると、満足感が少なくかえって飲食回数も増え、虫歯が増える原因となるので、注意が必要です。
-
- 基本 2
- 歯を強くする
普段の食生活でバランスのよい栄養食を規則的に摂り、歯質の良い強い歯をつくりましょう。なお、年齢に応じたフッ化物の応用で、むし歯になりにくい歯にします。
-
- 基本 3
- むし歯菌を減らす
歯ブラシによる正しいブラッシングと、デンタルフロスを使ったフロッシングで、むし歯菌のかたまりであるプラーク(歯垢)を取り除きます。
小児歯科の様々なメニュー
フッ素

フッ素に虫歯を予防する作用があることをご存知の方も多いと思います。
フッ素を含むゼリータイプの塗布剤で歯をコーティングすることによって虫歯を予防することができます。
シーラント

シーラントは奥歯の噛みあわせの部分の溝にプラスチックを埋め込んで、その部分を虫歯予防しようという方法です。
フッ素塗布がフッ素の膜によって歯を虫歯から守る理論は同じと言えるでしょう。
小児矯正歯科
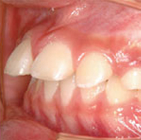
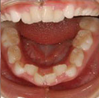
歯並びやかみ合わせの悪い子どもが増えています!
今の子供たちは、あごが細く、噛む力が低下している傾向があります。そのため正しい向きや位置に歯が生えず、歯並びやかみ合わせが悪い子どもが増えているのです。
かみ合わせや歯並びが
悪い場合に及ぼす影響
-
- 影響 1
- むし歯や歯周病になるリスクが高まる
歯並びが悪いと歯ブラシが届かない部分が多くなり、むし歯や歯周病のリスクが上がります。
-
- 影響 2
- 食べ物がよく噛めなくなる
歯並びが悪いとかみ合わせも悪くなります。健康な口腔と脳の発達には食べ物をよく噛みましょう。
-
- 影響 3
- 発音が悪くなる
歯並びが乱れると舌の位置も本来の場所からずれてしまいます。そうするとスムーズな発音がしにくくなるおそれがあります。
-
- 影響 4
- 口呼吸が治らない
歯並びが悪い場合は舌の位置がずれてしまいます。このことから口を開きがちになり、身体にさまざまな弊害をもたらす口呼吸が習慣になってしまいます。
-
- 影響 5
- 身体バランスがズレる
片側だけでの咀嚼や、あまり噛まないことが続くと、あごや肩などの筋肉のバランスが崩れてきます。このことが頭痛や肩こり、睡眠の質の低下、姿勢が悪くなるなど、さまざまな弊害をもたらします。
-
- 影響 6
- 見た目がコンプレックスになる
悪い歯並びを見せたくない気持ちから、自然な笑顔が減ったり、口を手で隠すといった動作をしたり、元気がなくなったりすることがあります。
矯正は子供のうちに

成長する力を利用できること、銀歯などの修復物などがまだないことから、子どもの矯正では装置をつけやすくシンプルな治療が可能です。
多感な思春期になる前に、自然な笑顔で笑えるようにしていきましょう。
離乳食を子供に食べさせるときに、お母さんが一度口をつけたものを子供に食べさせることがよくありますが、その時に、お母さんの歯が虫歯になっていると、虫歯菌が子供へうつってしまうのです。
また、歯並びは全身の発育や健康を左右する問題であり、心の問題にもつながっています。できるだけ早い時期にご相談いただくことでスムーズに解決していきます。
プレオルソ矯正法

プレオルソ矯正法は、マウスピース型の矯正装置を使用し、小児(4歳から9歳ぐらいまで)の歯並びを改善する矯正法です。
この矯正法の特徴は「歯を直接動かす」のではなく、歯並びを悪くしている原因(口の周りの筋肉)を改善することで、間接的に歯並びを改善していくことがあげられます。
歯は適当に生え揃えていくのではなく、舌や頬や唇の筋肉のバランスに合わせて並んでいきます。つまり、口周りの筋肉のバランスが悪ければ歯並びは悪くなり、バランスが良ければ理想の位置に自然と並んでいくのです。
プレオルソをお口に入れることで、自然と口周りの筋肉のバランスを調整してくれるので、歯が正しい位置に並んでいきます。
また、プレオルソは「咬み合わせ」と「歯ならび」を改善すると同時に機能的な側面「お口ポカン」に代表される口呼吸から鼻呼吸へが非常に重要と考えています。マウスピースを使うこの治療法は子どもの成長発育にとても大切です。
プレオルソが対応できる症例
-

出っ歯
上の歯が出ている -

凸凹デコボコ
4人掛けの椅子に6人座る状態 -

受け口
下の歯が出ている
専門スタッフの院長より
当院の小児歯科は、治療実績が豊富でコミュニケーション力の高い専門のドクターが治療にあたりますので、安心できる小児歯科治療をご提供できます。
お子様の歯でお気付きの点があれば、お気軽にご相談ください。
